Implanty stomatologiczne to nowoczesne rozwiązanie, które zyskuje coraz większą popularność wśród pacjentów poszukujących trwałych i estetycznych metod uzupełniania braków zębowych. Jedną z głównych zalet implantów jest ich zdolność do przywracania funkcji żucia, co ma kluczowe znaczenie dla komfortu życia. Dzięki nim pacjenci mogą cieszyć się ulubionymi potrawami bez obaw o ból czy dyskomfort. Ponadto implanty stomatologiczne są bardzo estetyczne, co pozwala na naturalny wygląd uśmiechu. W przeciwieństwie do tradycyjnych protez, które mogą się przesuwać lub wypadać, implanty są trwale osadzone w kości szczęki, co zapewnia stabilność i pewność podczas mówienia oraz jedzenia. Kolejnym atutem jest ich długowieczność; przy odpowiedniej higienie jamy ustnej i regularnych wizytach kontrolnych mogą służyć przez wiele lat, a nawet całe życie. Dodatkowo, implanty pomagają w utrzymaniu struktury kostnej szczęki, zapobiegając jej zanikowi, co często występuje po utracie zębów.
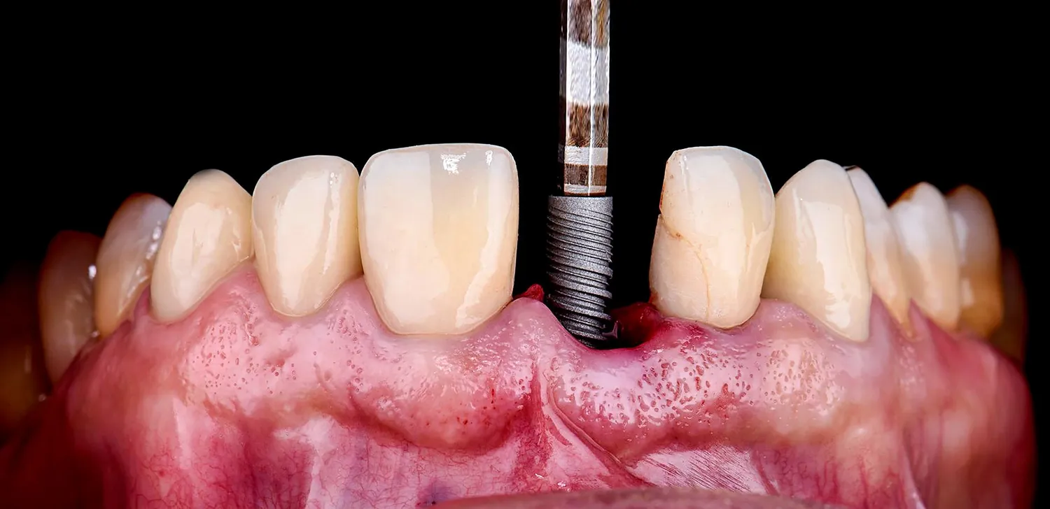
Jak przebiega proces zakupu i wszczepienia implantów stomatologicznych
Proces zakupu i wszczepienia implantów stomatologicznych rozpoczyna się od szczegółowej konsultacji ze specjalistą. Na tym etapie lekarz przeprowadza dokładne badania diagnostyczne, takie jak zdjęcia rentgenowskie czy tomografia komputerowa, aby ocenić stan kości oraz ogólną kondycję jamy ustnej pacjenta. Następnie lekarz omawia dostępne opcje leczenia oraz przedstawia plan działania. Po zaakceptowaniu planu przez pacjenta następuje etap przygotowania do zabiegu. W przypadku konieczności wykonania zabiegów dodatkowych, takich jak augmentacja kości czy leczenie chorób przyzębia, są one realizowane przed wszczepieniem implantu. Sam zabieg wszczepienia implantu odbywa się w znieczuleniu miejscowym i zazwyczaj trwa od jednej do kilku godzin w zależności od liczby implantów oraz skomplikowania przypadku. Po wszczepieniu implantu następuje okres gojenia, który może trwać od kilku tygodni do kilku miesięcy. W tym czasie implant integruje się z kością szczęki, co jest kluczowe dla jego stabilności.
Czy implanty stomatologiczne są odpowiednie dla każdego pacjenta

Decyzja o wszczepieniu implantów stomatologicznych nie zawsze jest prosta i wymaga indywidualnego podejścia do każdego pacjenta. Istnieje wiele czynników, które należy wziąć pod uwagę przed podjęciem decyzji o leczeniu implantologicznym. Przede wszystkim ważny jest stan zdrowia ogólnego pacjenta oraz kondycja jamy ustnej. Osoby cierpiące na choroby przewlekłe, takie jak cukrzyca czy choroby serca, powinny skonsultować się ze swoim lekarzem przed przystąpieniem do zabiegu. Kolejnym istotnym aspektem jest ilość oraz jakość tkanki kostnej w miejscu planowanego wszczepienia implantu; w przypadku jej niedoboru może być konieczne przeprowadzenie dodatkowych zabiegów chirurgicznych, takich jak przeszczepy kostne. Również wiek pacjenta ma znaczenie; chociaż nie ma górnej granicy wiekowej dla osób decydujących się na implanty, to młodsze osoby powinny poczekać na zakończenie wzrostu kości szczęki.
Jakie są koszty związane z implantami stomatologicznymi
Koszty związane z implantami stomatologicznymi mogą się znacznie różnić w zależności od wielu czynników, takich jak lokalizacja gabinetu stomatologicznego, doświadczenie lekarza oraz rodzaj zastosowanych materiałów. Zazwyczaj cena jednego implantu oscyluje w granicach kilku tysięcy złotych, co obejmuje zarówno sam implant, jak i procedurę jego wszczepienia oraz późniejsze wizyty kontrolne. Warto jednak pamiętać, że całkowity koszt leczenia może być wyższy ze względu na konieczność wykonania dodatkowych zabiegów przygotowawczych lub protetycznych. Koszt koron protetycznych również należy uwzględnić w budżecie; ceny koron mogą się różnić w zależności od materiału użytego do ich produkcji – porcelana pełnoceramiczna będzie droższa niż korony metalowe. Wiele klinik oferuje różne formy finansowania leczenia, takie jak raty czy leasing medyczny, co może ułatwić pokrycie kosztów związanych z leczeniem implantologicznym.
Jakie są najczęstsze pytania dotyczące implantów stomatologicznych
W miarę rosnącej popularności implantów stomatologicznych, wiele osób ma pytania dotyczące tego rozwiązania. Jednym z najczęściej zadawanych pytań jest to, jak długo trwa proces gojenia po wszczepieniu implantu. Zazwyczaj okres gojenia wynosi od 3 do 6 miesięcy, ale może się różnić w zależności od indywidualnych warunków pacjenta oraz skomplikowania zabiegu. Inne pytanie dotyczy bólu związanego z zabiegiem; większość pacjentów zgłasza jedynie niewielki dyskomfort, który można złagodzić lekami przeciwbólowymi. Kolejnym istotnym zagadnieniem jest trwałość implantów; przy odpowiedniej pielęgnacji i regularnych wizytach kontrolnych mogą one służyć przez wiele lat, a nawet całe życie. Pacjenci często zastanawiają się również nad tym, czy implanty są bezpieczne; współczesna stomatologia dysponuje nowoczesnymi materiałami oraz technologiami, które minimalizują ryzyko powikłań. Warto również wiedzieć, że nie każdy pacjent jest kandydatem do leczenia implantologicznego; lekarz przeprowadzi szczegółową ocenę stanu zdrowia oraz jamy ustnej przed podjęciem decyzji o wszczepieniu implantu.
Jak dbać o implanty stomatologiczne po ich wszczepieniu
Prawidłowa pielęgnacja implantów stomatologicznych jest kluczowa dla ich długowieczności oraz zdrowia jamy ustnej. Po wszczepieniu implantu lekarz zazwyczaj zaleca unikanie twardych pokarmów przez kilka pierwszych tygodni, aby dać czas na gojenie się tkanek wokół implantu. Regularne szczotkowanie zębów oraz nitkowanie są niezwykle ważne; należy stosować miękką szczoteczkę do zębów oraz pastę do zębów zawierającą fluor. Warto również rozważyć użycie płynów do płukania jamy ustnej, które pomogą w utrzymaniu higieny oraz zapobieganiu stanom zapalnym. Pacjenci powinni także regularnie odwiedzać swojego dentystę na wizyty kontrolne, aby monitorować stan implantów oraz otaczających tkanek. W przypadku wystąpienia jakichkolwiek niepokojących objawów, takich jak ból, obrzęk czy krwawienie, należy jak najszybciej skontaktować się z lekarzem. Ważne jest także unikanie palenia tytoniu oraz nadmiernego spożycia alkoholu, ponieważ te czynniki mogą negatywnie wpływać na proces gojenia i integracji implantu z kością.
Jakie są alternatywy dla implantów stomatologicznych
Chociaż implanty stomatologiczne są jednym z najskuteczniejszych sposobów uzupełniania braków zębowych, istnieją również inne opcje leczenia, które mogą być odpowiednie dla niektórych pacjentów. Jedną z najpopularniejszych alternatyw są mosty protetyczne, które składają się z dwóch koron osadzonych na zdrowych zębach po obu stronach luki oraz sztucznego zęba umieszczonego pomiędzy nimi. Mosty są mniej inwazyjne niż implanty i mogą być wykonane w krótszym czasie, jednak wymagają szlifowania zdrowych zębów, co może być wadą tego rozwiązania. Inną opcją są protezy ruchome, które można łatwo wyjmować i zakładać; są one tańsze niż implanty i mosty, ale mogą być mniej komfortowe i stabilne podczas jedzenia czy mówienia. W przypadku pacjentów, którzy nie mają wystarczającej ilości kości do wszczepienia implantu, można rozważyć zabieg augmentacji kości lub sinus liftu przed przystąpieniem do leczenia implantologicznego. Istnieją także nowoczesne technologie takie jak mini-implanty czy systemy All-on-4, które oferują alternatywne podejścia do leczenia braków zębowych.
Jakie badania diagnostyczne są potrzebne przed wszczepieniem implantów stomatologicznych
Przed przystąpieniem do zabiegu wszczepienia implantów stomatologicznych konieczne jest przeprowadzenie szczegółowych badań diagnostycznych, które pozwolą ocenić stan zdrowia jamy ustnej pacjenta oraz przygotować odpowiedni plan leczenia. Na początku lekarz przeprowadza wywiad medyczny, aby poznać historię chorób pacjenta oraz ewentualne przeciwwskazania do zabiegu. Następnie wykonuje zdjęcia rentgenowskie lub tomografię komputerową, które pozwalają ocenić stan kości szczęki oraz określić jej grubość i gęstość w miejscu planowanego wszczepienia implantu. Badania te są kluczowe dla ustalenia możliwości przeprowadzenia zabiegu oraz wyboru odpowiednich rozmiarów implantu. W przypadku stwierdzenia niedoboru tkanki kostnej lekarz może zalecić dodatkowe procedury przygotowawcze, takie jak przeszczepy kostne czy augmentacja kości. Również ocena stanu tkanek miękkich wokół zębów jest istotna; jeśli pacjent cierpi na choroby przyzębia lub inne schorzenia jamy ustnej, konieczne może być ich wcześniejsze wyleczenie przed przystąpieniem do wszczepienia implantu.
Jakie są najnowsze technologie w dziedzinie implantologii stomatologicznej
Implantologia stomatologiczna dynamicznie się rozwija dzięki nowym technologiom i innowacjom w dziedzinie materiałoznawstwa oraz chirurgii dentystycznej. Jednym z najnowszych osiągnięć jest zastosowanie cyfrowego planowania zabiegów chirurgicznych za pomocą oprogramowania komputerowego 3D. Dzięki temu lekarze mogą precyzyjnie zaplanować miejsce wszczepienia implantu oraz dostosować jego rozmiar i kształt do indywidualnych potrzeb pacjenta. Kolejnym innowacyjnym rozwiązaniem są mini-implanty, które charakteryzują się mniejszymi wymiarami i mogą być stosowane w przypadkach ograniczonej ilości tkanki kostnej lub jako wsparcie dla protez ruchomych. Nowoczesne materiały wykorzystywane do produkcji implantów również znacząco wpłynęły na ich trwałość i biokompatybilność; obecnie stosuje się tytan o wysokiej jakości oraz materiały ceramiczne, które zapewniają lepszą estetykę i integrację z kością. Technologia CAD/CAM umożliwia natomiast precyzyjne wykonanie koron protetycznych na implancie w krótszym czasie i z większą dokładnością niż tradycyjne metody laboratoryjne.





