Implanty zębów to nowoczesne rozwiązanie stosowane w stomatologii, które pozwala na odbudowę brakujących zębów. Istnieje kilka rodzajów implantów, które różnią się między sobą materiałem, kształtem oraz sposobem wszczepienia. Najczęściej stosowane są implanty tytanowe, które charakteryzują się wysoką biokompatybilnością oraz odpornością na korozję. Tytan jest materiałem, który dobrze integruje się z kością, co sprawia, że implanty tytanowe są bardzo trwałe. Innym rodzajem są implanty ceramiczne, które cieszą się rosnącą popularnością ze względu na estetykę oraz naturalny wygląd. Są one szczególnie polecane dla pacjentów z alergią na metale. Warto również wspomnieć o implantach miniaturowych, które znajdują zastosowanie w przypadku ograniczonej ilości kości lub jako tymczasowe rozwiązanie przed wykonaniem pełnej odbudowy protetycznej.
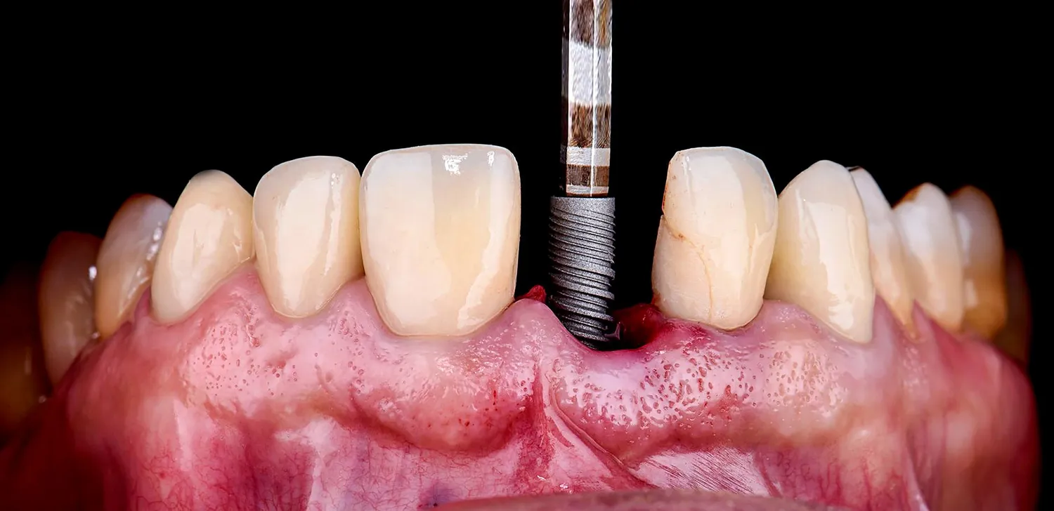
Jak wygląda proces wszczepiania implantów zębów krok po kroku?
Proces wszczepiania implantów zębów składa się z kilku kluczowych etapów, które są niezbędne do osiągnięcia sukcesu terapeutycznego. Pierwszym krokiem jest szczegółowa diagnostyka, która obejmuje badania radiologiczne oraz ocenę stanu zdrowia pacjenta. Na podstawie tych informacji lekarz podejmuje decyzję o możliwości przeprowadzenia zabiegu oraz dobiera odpowiedni typ implantu. Następnie następuje etap chirurgiczny, podczas którego implant jest wszczepiany w kość szczęki lub żuchwy. Zabieg ten zazwyczaj odbywa się w znieczuleniu miejscowym i trwa od 1 do 2 godzin. Po wszczepieniu implantu następuje okres gojenia, który może trwać od kilku tygodni do kilku miesięcy, w zależności od indywidualnych predyspozycji pacjenta oraz jakości kości. Po zakończeniu procesu gojenia lekarz przystępuje do montażu korony protetycznej na implancie, co kończy cały proces rehabilitacji stomatologicznej.
Jakie są zalety i wady implantów zębów w porównaniu do innych metod?

Implanty zębów mają wiele zalet w porównaniu do tradycyjnych metod odbudowy brakujących zębów, takich jak mosty czy protezy. Przede wszystkim zapewniają one stabilność i funkcjonalność porównywalną z naturalnymi zębami, co pozwala na swobodne jedzenie oraz mówienie bez obaw o przesuwanie się protezy. Dodatkowo implanty zapobiegają utracie kości w miejscu braku zęba, co jest istotnym czynnikiem wpływającym na zachowanie prawidłowej struktury twarzy. Kolejną zaletą jest estetyka – implanty wyglądają jak naturalne zęby i nie wymagają szlifowania zdrowych zębów sąsiednich, co ma miejsce przy zakładaniu mostów. Niemniej jednak istnieją również pewne wady związane z tą metodą leczenia. Proces wszczepienia implantu jest bardziej skomplikowany i kosztowny niż tradycyjne metody protetyczne. Ponadto nie każdy pacjent kwalifikuje się do zabiegu – osoby z chorobami przyzębia czy niewystarczającą ilością kości mogą wymagać dodatkowych zabiegów przed wszczepieniem implantu.
Jak dbać o implanty zębów po ich założeniu?
Prawidłowa pielęgnacja implantów zębów jest kluczowa dla ich długowieczności i zdrowia jamy ustnej po zabiegu wszczepienia. Po pierwsze, ważne jest przestrzeganie zasad higieny jamy ustnej, które obejmują regularne szczotkowanie zębów co najmniej dwa razy dziennie oraz nitkowanie przynajmniej raz dziennie. Używanie past wybielających lub zawierających składniki ścierne należy ograniczyć, aby nie uszkodzić powierzchni implantu ani korony protetycznej. Warto również stosować płyny do płukania jamy ustnej zawierające antybakteryjne składniki, które pomogą w utrzymaniu zdrowia dziąseł wokół implantu. Regularne wizyty kontrolne u stomatologa są równie istotne – lekarz będzie mógł monitorować stan implantu oraz otaczających tkanek miękkich i szybko reagować na ewentualne problemy. Należy także unikać twardych pokarmów oraz nawyków takich jak gryzienie paznokci czy otwieranie butelek zębami, ponieważ mogą one prowadzić do uszkodzenia implantu lub korony.
Jakie są koszty implantów zębów i co wpływa na ich cenę?
Koszty związane z implantami zębów mogą się znacznie różnić w zależności od wielu czynników, co sprawia, że jest to temat często poruszany przez pacjentów. Przede wszystkim cena implantu zależy od rodzaju użytego materiału oraz technologii, która została zastosowana podczas jego produkcji. Implanty tytanowe są zazwyczaj droższe niż ceramiczne, ale ich trwałość i biokompatybilność sprawiają, że są one bardziej popularnym wyborem wśród stomatologów. Kolejnym istotnym czynnikiem wpływającym na koszt jest lokalizacja gabinetu stomatologicznego oraz doświadczenie lekarza. W większych miastach ceny mogą być wyższe ze względu na większą konkurencję oraz wyższe koszty utrzymania praktyki. Dodatkowo, jeśli pacjent wymaga dodatkowych zabiegów, takich jak augmentacja kości czy sinus lift, całkowity koszt leczenia może znacznie wzrosnąć. Warto również zwrócić uwagę na to, że niektóre kliniki oferują możliwość rozłożenia płatności na raty lub korzystania z programów finansowania, co może ułatwić dostęp do tego typu leczenia.
Jakie są najczęstsze powikłania po wszczepieniu implantów zębów?
Jak w przypadku każdego zabiegu chirurgicznego, także wszczepienie implantów zębów wiąże się z ryzykiem wystąpienia powikłań. Najczęściej występującym problemem jest infekcja w miejscu wszczepienia implantu, która może prowadzić do stanu zapalnego tkanek miękkich i kości. Dlatego tak ważne jest przestrzeganie zasad higieny jamy ustnej oraz regularne wizyty kontrolne u stomatologa. Innym potencjalnym powikłaniem jest brak integracji implantu z kością, co może być spowodowane niewłaściwym umiejscowieniem implantu lub niedostateczną ilością tkanki kostnej. W takim przypadku konieczne może być usunięcie implantu i przeprowadzenie dodatkowych zabiegów przed ponownym wszczepieniem. Pacjenci mogą również doświadczać bólu lub dyskomfortu w okolicy implantu, co może być wynikiem nadmiernego obciążenia lub niewłaściwego dopasowania korony protetycznej. W rzadkich przypadkach mogą wystąpić reakcje alergiczne na materiały użyte do produkcji implantu.
Jakie są alternatywy dla implantów zębów w leczeniu braków uzębienia?
Alternatywy dla implantów zębów obejmują różnorodne metody protetyczne, które mogą być stosowane w leczeniu braków uzębienia. Najpopularniejszą z nich są mosty protetyczne, które polegają na osadzeniu sztucznego zęba (korony) na zdrowych zębach sąsiednich. Mosty są stosunkowo szybkim rozwiązaniem i nie wymagają zabiegów chirurgicznych, jednak wiążą się z koniecznością szlifowania zdrowych zębów, co może wpłynąć na ich trwałość. Inną opcją są protezy ruchome, które można łatwo zdjąć i założyć. Protezy mogą być całkowite lub częściowe i stanowią tańszą alternatywę dla implantów, jednak często nie zapewniają takiej samej stabilności ani komfortu użytkowania. Warto również wspomnieć o metodzie ortodontycznej, która polega na przesuwaniu pozostałych zębów w celu zamknięcia luki po brakującym zębie. Ta metoda wymaga jednak dłuższego czasu leczenia oraz współpracy pacjenta.
Jakie są opinie pacjentów o implantach zębów?
Opinie pacjentów na temat implantów zębów są przeważnie pozytywne, co świadczy o ich wysokiej skuteczności oraz satysfakcji związanej z poprawą jakości życia po zabiegu. Wielu pacjentów podkreśla znaczenie estetyki – implanty wyglądają naturalnie i pozwalają cieszyć się pewnością siebie podczas uśmiechania się czy jedzenia. Ponadto osoby, które zdecydowały się na ten rodzaj leczenia często zwracają uwagę na komfort użytkowania – implanty nie przesuwają się ani nie powodują dyskomfortu jak tradycyjne protezy. Pacjenci doceniają również fakt, że implanty pomagają w zachowaniu struktury kości szczęki, co ma kluczowe znaczenie dla długotrwałego zdrowia jamy ustnej. Z drugiej strony niektórzy pacjenci wskazują na wysokie koszty związane z zabiegiem oraz długi czas oczekiwania na pełne efekty leczenia. Inni zauważają konieczność przestrzegania rygorystycznych zasad higieny jamy ustnej oraz regularnych wizyt kontrolnych u stomatologa jako elementy wymagające zaangażowania i dyscypliny.
Jakie nowinki technologiczne wpływają na rozwój implantologii stomatologicznej?
Rozwój technologii ma ogromny wpływ na dziedzinę implantologii stomatologicznej, a nowe rozwiązania przyczyniają się do zwiększenia skuteczności oraz bezpieczeństwa zabiegów wszczepiania implantów. Jednym z najważniejszych osiągnięć jest zastosowanie technologii cyfrowej w planowaniu zabiegów – dzięki skanowaniu 3D możliwe jest precyzyjne odwzorowanie anatomicznych warunków jamy ustnej pacjenta oraz zaplanowanie optymalnego umiejscowienia implantu jeszcze przed przystąpieniem do zabiegu chirurgicznego. To znacząco minimalizuje ryzyko powikłań oraz zwiększa komfort pacjenta podczas operacji. Kolejną innowacją są implanty wykonane przy użyciu technologii CAD/CAM, które pozwalają na precyzyjne dopasowanie kształtu i rozmiaru implantu do indywidualnych potrzeb pacjenta. Dodatkowo rozwój materiałoznawstwa prowadzi do pojawiania się nowych biokompatybilnych materiałów ceramicznych, które charakteryzują się jeszcze lepszymi właściwościami estetycznymi i wytrzymałościowymi niż tradycyjne tytanowe implanty. Również techniki regeneracji kości stają się coraz bardziej zaawansowane – zastosowanie biomateriałów czy komórek macierzystych otwiera nowe możliwości w leczeniu pacjentów z niedoborem tkanki kostnej.
Jakie są najważniejsze pytania dotyczące implantów zębów?
Wielu pacjentów przed podjęciem decyzji o wszczepieniu implantów zębów ma wiele pytań dotyczących tego zabiegu. Jednym z najczęściej zadawanych pytań jest to, jak długo trwa proces gojenia po wszczepieniu implantu. Czas ten może się różnić w zależności od indywidualnych predyspozycji pacjenta oraz jakości kości, ale zazwyczaj wynosi od kilku tygodni do kilku miesięcy. Inne istotne pytanie dotyczy bólu – pacjenci często obawiają się, że zabieg będzie bolesny. Warto jednak zaznaczyć, że podczas wszczepienia implantu stosuje się znieczulenie miejscowe, a większość osób opisuje jedynie niewielki dyskomfort po zabiegu. Kolejnym zagadnieniem jest trwałość implantów – wiele osób zastanawia się, jak długo będą one służyć. Przy odpowiedniej pielęgnacji i regularnych kontrolach stomatologicznych implanty mogą funkcjonować przez wiele lat, a nawet całe życie. Pacjenci pytają również o możliwość wystąpienia komplikacji po zabiegu oraz jakie są objawy, które powinny ich zaniepokoić.




